یک ایمپلنت الکترونیکی جدید چشم، بینایی خواندن را به افرادی که به دلیل دژنراسیون ماکولای وابسته به سن از نوع خشک (خشکی ماکولا) نابینا شده بودند، بازگردانده است.
در یک آزمایش بزرگ، بیمارانی که از ایمپلنت PRIMA و عینکهای واقعیت افزوده استفاده میکردند، توانستند پس از سالها تاریکی، دوباره حروف و کلمات را ببینند!
چشم الکترونیکی پیشگام، بینایی خواندن را باز میگرداند!
بر اساس یک آزمایش بالینی به رهبری محققان UCL و بیمارستان چشم مورفیلدز (Moorfields Eye Hospital)، افرادی که بینایی خود را از دست داده بودند، پس از دریافت یک ایمپلنت الکترونیکی چشم پیشگام همراه با عینکهای واقعیت افزوده، توانایی خواندن را دوباره به دست آوردند.
یافتههای این مطالعه که در مجله The New England Journal of Medicine منتشر شد، نشان داد که ۸۴٪ از شرکتکنندگان توانستند حروف، اعداد و کلمات را با استفاده از بینایی مصنوعی در چشمی که قبلاً نابینا شده بود، تشخیص دهند. از دست دادن بینایی آنها به دلیل نوع پیشرفته و غیرقابل درمان از دژنراسیون ماکولای وابسته به سن از نوع خشک (AMD) معروف به آتروفی جغرافیایی (GA) بود.

بهطور متوسط، شرکتکنندگان تحت درمان با این ایمپلنت توانستند پنج خط از یک نمودار بینایی استاندارد را بخوانند. قبل از این عمل، برخی از آنها اصلاً نمیتوانستند نمودار را ببینند.
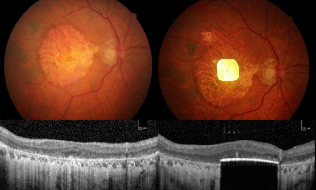
این آزمایش بالینی شامل ۳۸ شرکتکننده در ۱۷ بیمارستان در پنج کشور بود. این مطالعه یک ایمپلنت شبکیه پیشرفته به نام PRIMA را آزمایش کرد. هر بیمار انتخاب شده برای این عمل، قبل از کاشت، بینایی مرکزی خود را در یک چشم کاملاً از دست داده بود.

خشکی ماکولا یک بیماری تدریجی است که به ماکولا، بخشی از شبکیه که مسئول دید مرکزی واضح است، آسیب میرساند. با گذشت زمان، سلولهای شبکیه حساس به نور تخریب شده و میمیرند و منجر به تاری و در نهایت نابینایی میشوند. در مرحله پایانی بیماری، معروف به آتروفی جغرافیایی (GA)، ماکولای مرکزی به طور کامل از بین میرود. تخمین زده میشود که GA پنج میلیون نفر در سراسر جهان را تحت تأثیر قرار میدهد و در حال حاضر هیچ درمان تأیید شدهای ندارد. تمام بیماران در این آزمایش، بینایی مرکزی خود را در چشم آسیبدیده از دست داده بودند و تنها دید محیطی محدودی برای آنها باقی مانده بود.
دوران جدیدی در بینایی مصنوعی
ایمپلنت PRIMA اولین دستگاه موفقی است که قادر به بازیابی توانایی خواندن از طریق چشمی است که بینایی خود را از دست داده بود.
ماهی موکیت (Mahi Muqit)، دانشیار موسسه چشمپزشکی UCL و مشاور ارشد ویترهورتینال در بیمارستان چشم مورفیلدز، رهبری بخش بریتانیای این مطالعه را بر عهده داشت. او گفت:
در تاریخ بینایی مصنوعی، این نشاندهنده دوران جدیدی است. بیماران نابینا در واقع قادر به بازیابی بینایی مرکزی معنادار هستند که قبلاً هرگز انجام نشده بود.
بازگشت توانایی خواندن یک بهبود عمده در کیفیت زندگی آنها است، روحیه آنها را بالا میبرد و به بازیابی اعتماد به نفس و استقلالشان کمک میکند. عمل کاشت تراشه PRIMA میتواند با خیال راحت توسط هر جراح ویترهورتینال آموزش دیده در کمتر از دو ساعت انجام شود – این نکته کلیدی برای فراهم کردن دسترسی همه بیماران نابینا به این روش درمانی جدید برای GA در خشکی ماکولا است.
روش جراحی شامل ویترکتومی است که در آن ژل طبیعی چشم از بین عدسی و شبکیه خارج میشود. سپس جراح یک ریزتراشه بسیار نازک، تقریباً به اندازه یک سیم کارت (۲ میلیمتر در ۲ میلیمتر)، را از طریق یک سوراخ کوچک در زیر شبکیه مرکزی قرار میدهد.
پس از جراحی، بیمار عینکهای واقعیت افزوده مجهز به دوربین فیلمبرداری متصل به یک کامپیوتر کوچک با قابلیت زوم میپوشد که روی کمربند نصب میشود. دوربین اطلاعات بصری را ثبت کرده و به ایمپلنت منتقل میکند و به مغز اجازه میدهد این سیگنالها را به عنوان بینایی تفسیر کند.

اتصال مجدد مغز به بینایی از طریق هوش مصنوعی
حدود یک ماه یا کمی بیشتر پس از عمل، پس از تثبیت وضعیت چشم، تراشه جدید فعال میشود. دوربین فیلمبرداری در عینک، صحنه بصری را به صورت پرتو مادون قرمز مستقیماً روی تراشه میتاباند تا دستگاه را فعال کند. الگوریتمهای هوش مصنوعی (AI) از طریق کامپیوتر جیبی این اطلاعات را پردازش میکنند و سپس به یک سیگنال الکتریکی تبدیل میشود. این سیگنال از طریق سلولهای شبکیه و عصب بینایی به مغز منتقل میشود و در آنجا به عنوان بینایی تفسیر میگردد. بیمار از عینک خود برای تمرکز و اسکن روی شیء اصلی در تصویر تابیده شده از دوربین فیلمبرداری استفاده میکند و از قابلیت زوم برای بزرگنمایی متن بهره میبرد. هر بیمار یک برنامه توانبخشی فشرده را در طول چندین ماه طی میکند تا یاد بگیرد این سیگنالها را تفسیر کند و دوباره شروع به خواندن کند.
هیچ کاهش قابل توجهی در بینایی محیطی موجود در شرکتکنندگان آزمایش مشاهده نشد. این یافتهها راه را برای درخواست تأیید برای بازاریابی این دستگاه جدید هموار میکند.
این آزمایش جهانی توسط دکتر فرانک هولز (Frank Holz) از دانشگاه بن رهبری شد و شرکتکنندگانی از بریتانیا، فرانسه، ایتالیا و هلند داشت.
دستگاه سیستم PRIMA که در این عمل استفاده میشود، توسط Science Corporation در حال توسعه است که در زمینه رابطهای مغز و کامپیوتر و مهندسی عصبی فعالیت میکند.
موکیت اضافه کرد:
احساس من این است که در این زمینه در به روی دستگاههای پزشکی باز است، زیرا در حال حاضر هیچ درمانی برای خشکی ماکولا مجوز ندارد – وجود ندارد.
من فکر میکنم این چیزی است که در آینده میتواند برای درمان چندین بیماری چشمی استفاده شود.
درون سیستم PRIMA: یک تراشه شبکیه با انرژی خورشیدی
این دستگاه یک ایمپلنت فتوولتائیک سابرتینال بیسیم جدید است که با عینکهای تخصصی جفت شده است. این عینکها نور مادون قرمز نزدیک را روی ایمپلنت میتابانند که مانند یک پنل خورشیدی مینیاتوری عمل میکند. ضخامت آن ۳۰ میکرومتر/میکرون (۰.۰۳ میلیمتر) است، تقریباً نصف ضخامت یک تار موی انسان.
یک قابلیت زوم به بیماران توانایی بزرگنمایی حروف را میدهد. این تراشه در لایه سابرتینال، زیر سلولهای شبکیه که مردهاند، کاشته میشود. تا زمانیکه عینک و کامپیوتر کمربندی روشن نشوند، ایمپلنت هیچ محرک بصری یا سیگنالی برای انتقال به مغز ندارد.
علاوه بر تمرین خواندن و شرکت در آموزشهای منظم، بیماران در این آزمایش تشویق شدند تا روشهایی برای استفاده از دستگاه را کشف کنند.
منبع: Scitechdaily


























