پژوهشی انقلابی در اسکاتلند تغییرات شناختی را از سن ۱۱ تا ۸۲ سالگی دنبال کرده و بینشهای بیسابقهای درباره سلامت مغز در طول عمر ارائه داده است. این تحقیق که ۲۵ سال به طول انجامید و سرانجام در ۷ نوامبر ۲۰۲۴ در ژورنال Genomic Psychiatry منتشر شد، بر اساس دادههای پروژه تحقیقاتی Lothian Birth Cohorts (LBC) انجام شده و بهطور ویژه تواناییهای شناختی شرکتکنندگان را از دوران کودکی تا ۸۰ سالگی دنبال کرده است.
پروفسور ایان دیری و دکتر سایمون کاکس از دانشگاه ادینبورگ در این تحقیق اکتشافات شگفتانگیزی را ارائه کردهاند که باورهای مرسوم در مورد پیری مغز را به چالش میکشد. این تحقیق نشان میدهد که تقریباً نیمی از تغییرات در نمرات هوش در دوران پیری به تواناییهای شناختی دوران کودکی بازمیگردد؛ یافتهای که پرسشهایی جذاب را درباره تأثیرات ژنتیک و محیط در رشد شناختی مطرح میکند.

پروفسور دیری توضیح میدهد:
نکته بسیار جالب این است که حتی پس از هفت دهه، حدود ۰.۷ شباهت بین نمرات شناختی دوران کودکی و پیری پیدا کردیم. این یعنی کمی کمتر از نیمی از تغییرات در هوش دوران پیری، در سن ۱۱ سالگی نیز وجود داشته است!
یافتههای کلیدی در زمینه پیری شناختی و طول عمر
یافتههای کلیدی شامل موارد زیر هستند:
- پیری مغز بین افراد همسن بسیار متفاوت است.
- الگوهای متیلاسیون DNA میتواند خطر مرگومیر را پیشبینی کند.
- هوش بالاتر در کودکی با نرخ بقای بیشتر در بزرگسالی مرتبط است.
- ژنتیک بهطور متفاوتی بر هوش در دوران کودکی و دوران پیری تأثیر میگذارد.
استحکام ویژه این مطالعه در استفاده از پیمایشهای روانی اسکاتلند در سالهای ۱۹۳۲ و ۱۹۴۷ نهفته است که تقریباً هر کودک متولد سالهای ۱۹۲۱ و ۱۹۳۶ در اسکاتلند را مورد آزمایش قرار داده بود. این پایهی جامع به محققان اجازه داده تا تغییرات شناختی را در طول عمر افراد دنبال کرده و الگوهایی را که پیشتر از دید علم پنهان بودند، آشکار سازند.
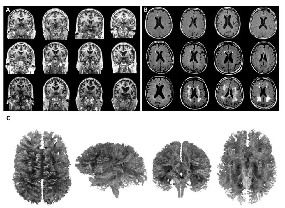
تفاوت در سلامت مغز و نقش تصویربرداری
یکی از جذابترین یافتهها به ساختار و عملکرد مغز مرتبط است. با استفاده از تکنیکهای پیشرفته تصویربرداری، پژوهشگران تفاوتهای قابلتوجهی را در سلامت مغز میان افراد همسن نشان دادند. این یافتهها سؤالات مهمی درباره عوامل مؤثر بر این تفاوتها و امکان تعدیل آنها از طریق تغییرات سبک زندگی مطرح میکند.
این پژوهش همچنین چندین پیشفرض درباره پیری شناختی را به چالش میکشد. دکتر کاکس میگوید:
ما یاد گرفتهایم که آنچه اغلب به عنوان ‘علت’ کاهش شناختی در دوران پیری تلقی میشود، گاهی در واقع ‘نتیجه’ تفاوتهای شناختی قبلی است. این یافته اساساً طرز تفکر ما درباره مداخلات سلامت مغزی را تغییر میدهد.
این یافتهها به چندین حوزه مهم برای تحقیقات آینده اشاره میکنند:
- تواناییهای شناختی در اوایل زندگی چگونه بر انتخابهای سبک زندگی که بر سلامت مغز تأثیر میگذارند، اثر میگذارد؟
- عوامل محیطی چه نقشی در حفظ تواناییهای شناختی ایفا میکنند؟
- آیا مداخلاتی در دوران میانسالی میتواند به حفظ عملکرد شناختی در دوران پیری کمک کند؟
این تحقیق راه را برای درک بهتر عوامل موثر بر پیری مغز و توسعه روشهای مداخلهای جدید برای حفظ سلامت شناختی هموار میکند.
منبع: Scitechdaily























